Invisalign in Milwaukee, WI

Clear Aligners. Expert Hands. Predictable Results.

  • Board-certified dentists guiding every step of treatment
  • Choose from ClearCorrect® or Invisalign®
  • 3D digital imaging for a comfortable, precise fit
  • 12–18 months of treatment with consistent doctor oversight

A Simple Guide to Choosing the Right Orthodontic Treatment

 ClearCorrectInvisalignTraditional Braces
Best ForMild to moderate casesModerate to complex casesComplex cases with significant movement
VisibilityVirtually invisibleVirtually invisibleVisible metal brackets and wires
RemovabilityRemovable for eating and hygieneRemovable for eating and hygieneFixed — requires special cleaning tools
Check-UpsFewer in-office visitsPeriodic visits for progress checksRegular wire tightening appointments
ComfortThin, flexible plastic traysCustom-molded plastic traysBrackets may cause irritation
Treatment TimelineOften under 12 monthsTypically 12–18 monthsTypically 18–24 months
Cost RangeOften more affordableVaries based on case complexityOften covered by insurance


 

“I couldn't be happier.” Real 5-Star Reviews

1

Blake Edwards

Google logo

Highly recommend! My case was complicated and I struggled to find a dentist willing to help. Dr. Cathy listened and worked with me to develop a solid plan for transforming my smile.  The level of care here was awesome, Dr. Cathy and Lindsay care about clients and work hard to make treatments as comfortable as possible. 

View On Google
1

Joanie Redenz

Google logo

I can’t say enough about my positive experience with Dr Don and team at Czaplicki Family Denistry. Dr Don is an extremely capable professional who put me right at ease. His attention to detail and skill really shine through in my results and I couldn’t be happier. The energy in the office is relaxed and calming and their follow up is exempliary. So glad I found my way here!

View On Google

Meet Your Clear Aligner Providers

Our dentists serve patients from Greenfield, Franklin, New Berlin, West Allis, and communities throughout the Greater Milwaukee area. Here is who will be guiding your treatment:

Dr. Don Czaplicki

Dr. Don Czaplicki

A Milwaukee native practicing since 1989, Dr. Don earned his Doctor of Dental Surgery from Creighton University and is a member of the American Academy of Cosmetic Dentistry and many other dental organizations. He brings decades of experience in orthodontics and bite alignment to every clear aligner case, and uses 3D digital imaging to design treatment plans that move teeth efficiently and predictably. Dr. Don is known for his attention to detail and his calm, thorough approach.

Dr. Cathleen Czaplicki

Dr. Cathleen Czaplicki

Practicing alongside her husband since 1989, Dr. Cathleen holds the same Creighton University DDS degree and has been an AACD member since 1993. She is known for her gentle chairside manner and her ability to put patients at ease, especially those who are new to orthodontic treatment. Whether you are considering ClearCorrect or Invisalign, Dr. Cathleen will explain every step and help you feel confident in your treatment plan.

boy holding a clear aligner

Clear Aligner Cost and Financing

Clear aligner treatment at our Milwaukee, WI, practice typically falls within the national average of $3,000–$8,000, depending on the complexity of your case and the system recommended. When you meet with our dentists for a consultation, we will provide an upfront estimate based on your specific needs.

Your treatment cost includes:

  • Initial consultation and 3D digital scan
  • Your full set of custom aligners
  • All checkup appointments throughout treatment
  • A retainer after treatment is complete

Our practice operates on a fee-for-service basis, which means transparent pricing with no surprises. We also accept flexible financing through CareCredit® so you can spread payments over time. If you have dental insurance, your plan may cover a portion of orthodontic treatment; we recommend checking with your provider before your visit.

Patients from New Berlin, West Allis, and the Greater Milwaukee area are welcome to call or request a consultation to get a personalized cost estimate.

Curious About Clear Aligner Treatment? Let’s Talk

If you’ve been thinking about straightening your teeth but aren’t sure which option is right, our board-certified dentists are here to guide you. Every aligner case is designed and overseen by the same trusted providers, not outsourced to an app or remote service. That means you’ll always know exactly who is planning and monitoring your progress.

Whether you’re a good candidate for ClearCorrect, Invisalign, or even traditional braces, we’ll explain the advantages of each and recommend a treatment that fits your timeline, budget, and goals. Our advanced 3D imaging technology allows us to show you a preview of your potential results before treatment even begins, giving you the confidence to take the next step.

Don’t put off the smile you’ve been wanting. Our office in Hales Corners proudly serves patients throughout the Greater Milwaukee area, and we’re always welcoming new patients. Schedule a consultation today and discover how comfortable, discreet, and predictable clear aligner treatment can be.

 

our office
Our state-of-the-art office is relaxing and inviting.
 

We Produce Impressive Results through Orthodontic Treatment

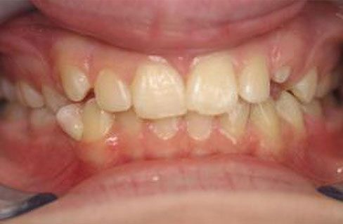
A patient's crooked teeth before braces
Before
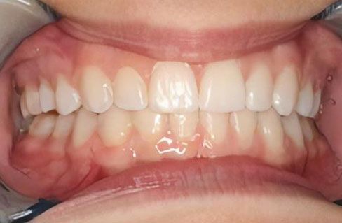
A patient's beautiful smile after braces
After

Am I a Candidate for Clear Aligners?

Permanent Teeth Are Required

Teens and adults with fully developed permanent teeth may qualify for Invisalign or ClearCorrect as a discreet alternative to braces.

Commitment Is Key

Aligners only work if worn consistently. Patients who can keep track of their trays and wear them as directed will see the best results.

Healthy Smiles First

Any issues like cavities or gum disease should be treated before beginning orthodontic care. A healthy foundation ensures that your aligners can do their job effectively.

How Do Clear Aligners Work? A Treatment Timeline

Invisalign and ClearCorrect are both orthodontic systems that use a series of plastic aligner trays to gradually bring the teeth into alignment. When patients from Milwaukee, WI, choose either of these treatment options at our dental practice, they can expect a treatment timeline similar to this:

Most Invisalign treatment plans produce results in around 12–18 months.
Most Invisalign treatment plans produce results in around 12–18 months.

Imaging

When our dentists determine that Invisalign or ClearCorrect is right for you, we will use our advanced imaging technology to create a highly precise digital model of your bite. We will use this scan to design your custom treatment plan, and we will send the scans to an Invisalign or ClearCorrect lab so they can fabricate your aligners.

Series of Aligners

Once your aligners have been created, they will be mailed either to our office or directly to you. You will need to wear your aligners for 20–22 hours a day, and you will typically switch to a new set of aligners about every two weeks. As you wear the aligners in sequence, they will gradually move your teeth into alignment.

Checkups

Patients from the Greater Milwaukee, WI, area can expect to periodically return to our dental office in Hales Corners so our dentists can monitor their progress. The frequency of checkups varies from case to case.

Smile!

After an average of 12–18 months, Invisalign and ClearCorrect patients who have followed their treatment guidelines will achieve straighter teeth and a more attractive smile. Patients may also choose to undergo teeth whitening or have veneers placed to further enhance the appearance of their smile.

Maintaining Results

Unfortunately, given the opportunity, the teeth tend to move out of place after orthodontic treatment. At the end of your Invisalign or ClearCorrect treatment, our dentists recommend that you wear a retainer to maintain your results. Many patients choose to use their final set of aligners as a retainer, or we can fabricate custom retainers for you.

Straighter Teeth Are Possible

A patient's photo before undergoing orthodontic treatment
Before
A patient's photo after undergoing orthodontic treatment
After

More High Praise for Our Milwaukee Team

1

bob fuller

Google logo

Thank you AGAIN Dr. Don for giving your immediate attention to my concern.  Dr. Don is a "Top Doctor" who listens carefully and makes sure he understands your needs first.

View On Google
1

Meghan Blaney

Google logo

Dr. Van Kleunen made me feel at ease and comfortable within minutes of meeting her. As a nervous dental patient- she was understanding, thorough and kind and so knowledgable.

View On Google

FAQ About Invisalign in Milwaukee, WI

Can I eat and drink with clear aligners in?

You should remove your aligners before eating or drinking anything other than water. Hot beverages can warp the plastic trays, colorful beverages can stain the aligners, and food particles trapped between the aligners and your teeth can increase the risk of cavities. After eating, brush your teeth before placing the aligners back in.

How long does Invisalign or ClearCorrect treatment take?

Most patients complete treatment in 12–18 months, though simpler cases with ClearCorrect can sometimes finish in under 12 months. Your timeline depends on the complexity of your case, how consistently you wear your aligners, and how your teeth respond to movement. Dr. Don or Dr. Cathleen will give you a projected timeline during your consultation.

What is the difference between Invisalign and ClearCorrect?

Both systems use custom-made, removable plastic trays to gradually straighten teeth. ClearCorrect tends to work well for mild to moderate cases and is often more affordable, while Invisalign is typically recommended for moderate to complex cases. Our dentists will evaluate your bite and recommend the option that best fits your goals and budget.

Will I need a retainer after clear aligner treatment?

Yes. Teeth naturally tend to shift back toward their original position after orthodontic treatment. Our dentists recommend wearing a retainer to protect your results. Many patients use their final set of aligners as a retainer, or we can create a custom retainer for you.

office exterior

Czaplicki Family Dentistry

Our mission at Czaplicki Family Dentistry is to provide every patient with exceptional dental care in a friendly and supportive environment. Drs. Don and Cathy Czaplicki are proud to be affiliated with a range of prestigious organizations, including the:

  • American Dental Association
  • American Academy of Cosmetic Dentistry
  • Academy of General Dentistry

For more information about our services, contact our Milwaukee office online or call (414) 427-9090 today.

Contact Us Today

Contact Us

Fields With Are Required
You can also call us at (414) 427-9090. This site is protected by reCAPTCHA and the Google Privacy Policy and Terms of Service apply.

Rate, Review & Explore

Social Accounts Sprite